Медичні послуги в Києві
В настоящее время имеется программное обеспечение для обработки данных компьютерной томографии, позволяющее планировать хирургический и ортопедический этапы имплантации при полной потере зубов. Компьютерная томограмма дает возможность тщательно изучить анатомию твердых и мягких тканей, а так же произвести виртуальное планирование установки имплантатов.
В настоящее время имеется программное обеспечение для обработки данных компьютерной томографии, позволяющее планировать хирургический и ортопедический этапы имплантации при полной потере зубов. Компьютерная томограмма дает возможность тщательно изучить анатомию твердых и мягких тканей, а так же произвести виртуальное планирование установки имплантатов.
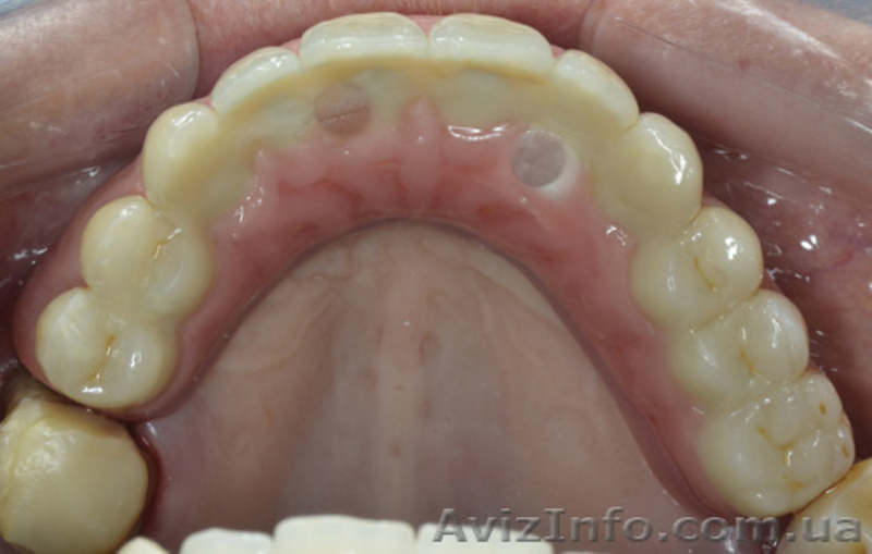
Благодаря навигационной швейцарской программе SMOP для правильного позиционирования имплантатов в нашей клинике изготавливают хирургический шаблон, который во время операции фиксируется на беззубую челюсть и по нему точно устанавливаются имплантаты. Вся операция осуществляется без разрезов, что значительно уменьшает негативные ощущения в послеоперационный период.
Также до проведения имплантации с помощью компьютерных технологий изготавливают индивидуальные абатменты (промежуточная часть между имплантатом и коронкой) из циркония, которые облегчают достижение высокого эстетического результата. Сразу после операции фиксируются индивидуальные абатменты и пластмассовые провизорные реставрации (временные коронки).
Таким образом, благодаря современным компьютерным технологиям мы имеем следующие приимущества во время имплантации при полной потере зубов: установливаются имплантаты с минимальным хирургическим вмешательством и в это же посещение фиксируется заранее изготовленная ортопедическая конструкция.
Это короткая информация о современном имплантологическом лечении, которая применяется в нашей клинике.
Если у Вас возникли вопросы, мы с удовольствием на них ответим.
С уважением, Главный врач Владимир Дуда.
Інформація про компанію, яка розмістила оголошення:
Дії з оголошенням #1276285
Поділіться з друзями і знайомими
Поділіться оголошенням Имплантация при полной потере зубов з друзями, знайомими, потенційними клієнтами, використовуйте для цього соціальні мережі, месенджери. Це додасть оголошенню популярності і ефект багаторазово підвищиться.
Збережіть або повідомте про порушення
Клиника эстетической стоматологии Клиника эстетической стоматологии
- На сайті з: 01.10.2013
- Активність: 21.09.2015
- Киев
- ул. Паторжинского, 14 (ст. метро «Золотые Ворота»)
- Kes klinika
Поради з безпеки
- Познайомтеся з продавцем в публічному місці
- Перевірте товар перед покупкою
- Сплачуйте лише після того як переконаєтеся, що товар відповідає опису і вашим вимогам
- Бажано провести операцію при свідках
Інші оголошення від
Клиника эстетической стоматологии Клиника эстетической стоматологии
QR-код сторінки
Поділіться QR-кодом в соціальних мережах, чатах, месенджерах щоб ваші знайомі, потенційні клієнти відкрили ваше оголошення на своїх смартфонах.
Казахстан
Україна
Узбекистан
Молдова